News & Events

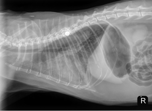
Cardiology Case of the Month: Fluid Intolerant/Overload Congestive Heart Failure in Cats

Cardiology Case of the Month: Fluid Intolerant/Overload Congestive Heart Failure in Cats

A 9 yo MN DSH initially presented to PVESC Emergency Department in September 2025 for further evaluation of a decreased appetite. He had historically been…

Read More
FIP – A Unique Neurologic Presentation

FIP – A Unique Neurologic Presentation

Elaine, a 1 year old spayed female Domestic Shorthair Cat presented on an emergency basis for a peracute onset of severe vestibular dysfunction which improved…

Read More

NEW: Outpatient Ultrasounds for Your Patients.

NoteGPT_Image_20260422155934

We’re Moving!
New Location Coming Fall 2026

We’re still open at our current location
and will share more details soon.